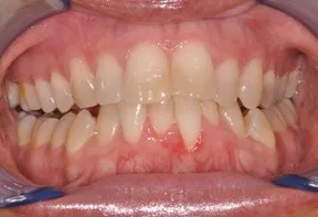
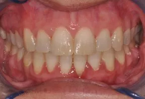
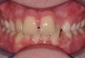
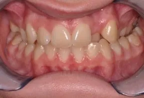
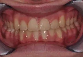
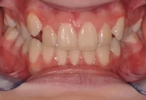
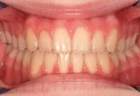
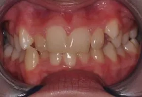
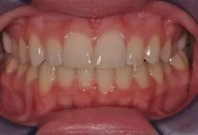
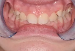
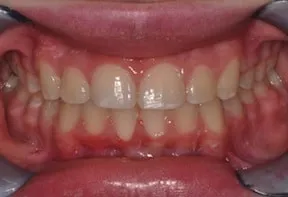
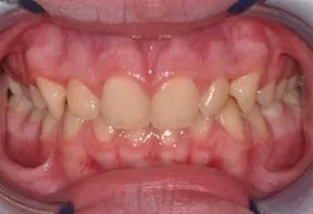
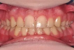
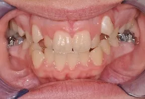
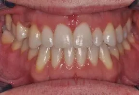
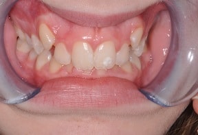
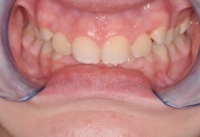
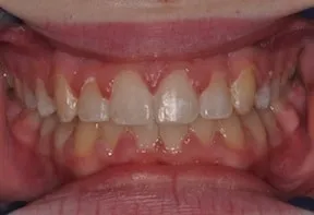
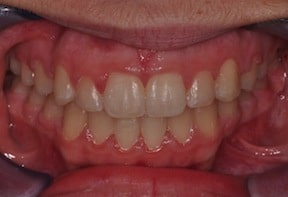
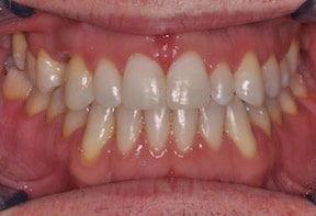
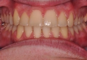
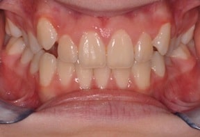
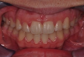
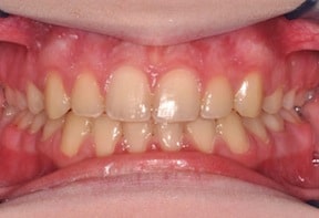
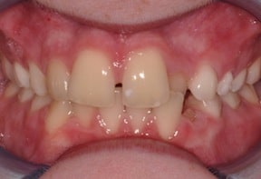
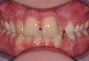
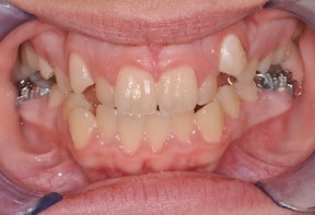
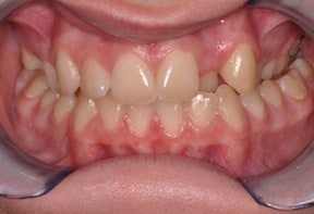
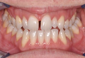
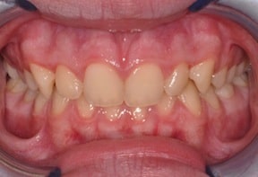
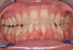
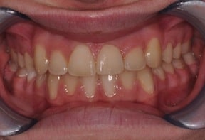
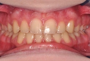
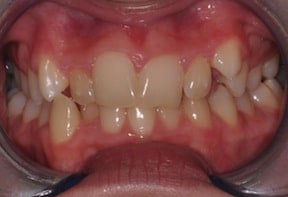
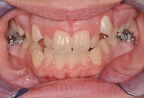
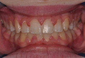
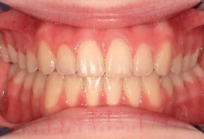
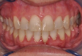
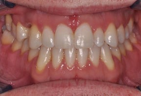
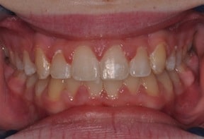
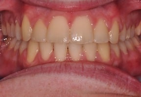
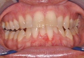
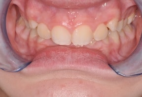
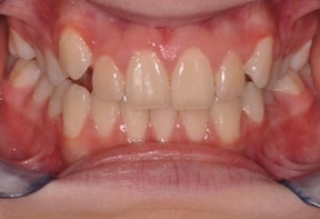
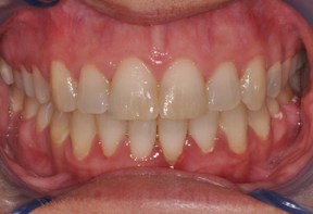
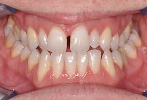
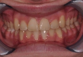
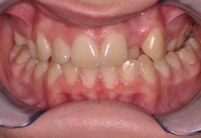
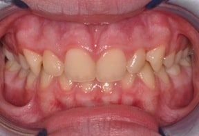
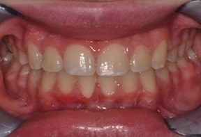
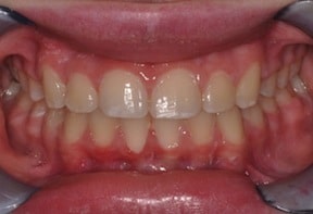
Check out these incredible results and inspiring journeys! We invite you to look through our before and after photos to see how Dr. Brent Rickheim and Dr. Brendan Smith have improved people’s smiles through their orthodontic care. Call (208) 777-1010 or speak to our orthodontist during your next visit to find out how your smile can become a part of Peach Orthodontics’ gallery.
Before & After
It starts with a smile



















